Отбеливание начинается с консультации стоматолога, который оценит состояние зубов и даст рекомендации по процедуре. Если зубы здоровы и не имеют кариеса, то можно приступить к отбеливанию.
Сначала зубы очищаются от налета и зубного камня. Затем наносится специальный гель, который под воздействием специального света осветляет эмаль зубов. После этого гель смывается.
Процедура занимает около часа
Нет. Метод opalescence в сочетании с аппаратом Zoom4 исключают боль.
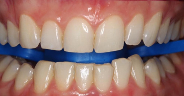
Зубы становятся более белыми на несколько оттенков. Это позволяет получить более привлекательную улыбку и повысить уверенность в себе.


До
После
Белоснежные зубы — это не только красиво и привлекательно, это символ заботы о своем внешнем виде
Сразу после отбеливания зубы подвержены окрашиванию. Первые две недели мы рекомендуем придерживаться так называемой белой диеты (без красящейся пищи и напитков)
В первые дни после осветления стоит отказаться от курения и сократить количество сигарет в первые две недели.
- Кариес, пульпит
- Повышенная чувствительность
- Пломбы не передних зубах, виниры, коронки
- Возраст до 16 лет
- Беременность и грудное вскармливание
- недостаточная и нерегулярная гигиены полости рта.
- курение
- частое употребление продуктов и напитков, которые содержат красящие вещества – кофе, чай, вино, ягодные соки
- злоупотребление сладостями
- неправильное развитие эмали и дентина из-за разных факторов: приема антибиотиков, повышенного содержания фтора в воде, различных заболеваний в раннем детском возрасте.
объясним непонятное, сориентируем по ценам, запишем на прием
О КЛИНИКЕ
Полный спектр стоматологических услуг, передовое оборудование, лечение с гарантиями. Три аппарата в клинике не имеют аналогов в городе
Приём главного врача
Каждый четверг с 11:00 до 16:00
ПРАВОВАЯ ИНФОРМАЦИЯ
ОТКАЗ ОТ ОТВЕТСТВЕННОСТИ
Информация на сайте не является публичной офертой, носит ознакомительный характер и не может быть приравнена к рекомендации врача
ИМЕЮТСЯ ПРОТИВОПОКАЗАНИЯ НЕОБХОДИМА КОНСУЛЬТАЦИЯ СПЕЦИАЛИСТА
Все права сохраняются 2026 ©
Некоторые иллюстрации взяты c ru.freepik.com
СТОМАТОЛОГИ:
Стоматологи терапевты:
Ткачева М.А.
Фатеева М.В,
Вавилкина Е.Д. Лавров К.А.
Гигиенисты
Рошавец А.И.
Михалева Е. Ю.
Хирурги и имплантологи:
Корсуков Ю.В.
Гудков А.С. Сычев Д.В.
Ортопеды
Чумляков Р.С.
Гудков А.С.
Ортодонты
Ибинаев Р.С,
КОСМЕТОЛОГИЯ