Восстанавливает жевательную функцию зубов. Устанавливает коронки на имплантаты или собственные зубы. Устанавливает съемные и несъемные протезы. Контролирует работу всех врачей в команде. Внимателен к каждому пациенту и способен объяснить сложное понятным языком.
+7-925-28XXXXX из Продокторов
Обратилась к Роману Сергеевичу, не столько с проблемой, сколько для решения своих эстетических предпочтений. Всегда мечтала иметь красивую, ровную, белоснежную улыбку. Роман Сергеевич порекомендовал для Еще...моей формы зубов сделать керамические виниры, т. к. они не меняют цвет со временем и при установке выглядят весьма натурально. Проконсультировались, затем на следующем приеме уже ставили сами виниры. После установки улыбка видоизменилась, кажется, я стала даже уверенней и стала чаще улыбаться. Виниры ощущаются как свои зубы, разницы почти нет. Большое человеческое спасибо!
+7-926-43XXXXX из Продокторов
Порекомендовали доктора – Романа Сергеевича знакомые. Зуб был достаточно сильно поврежден, сделали рентген и пришли к выводу, что нужно делать коронку, доктор сказал Еще... надо, значит, надо. Подготовка и дальнейшая установка прошли для меня максимально комфортно и безболезненно. Работой Романа Сергеевича осталась довольна! Не пожалела, что обратилась в “Зубр” и к Роману Сергеевичу в частности. Спасибо врачу и коллективу клиники за качественную работу! Буду приходить только к вам и порекомендую друзьям!.
+7-925-08XXXXX из Продокторов
Да, все понравилось. По состоянию моего зуба пришлось делать вкладку, т. к. вылечить его уже не представлялось возможным. Роман сделал Еще...все отлично! Спасибо ему! Хорошо, что до имплантации дело не дошло. Больше не буду затягивать с визитом к стоматологу!


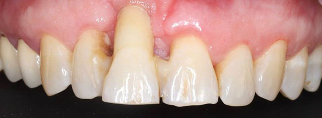
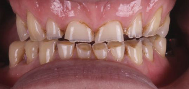
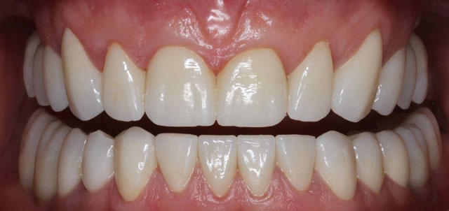
До
После


До
После
подробнее
Тотальная реабилитация пациента с большим количеством отсутствующих зубов. Цельноциркониевые коронки, коронки на имплантатах, терапевтическая санация полости рта


До
После
подробнее
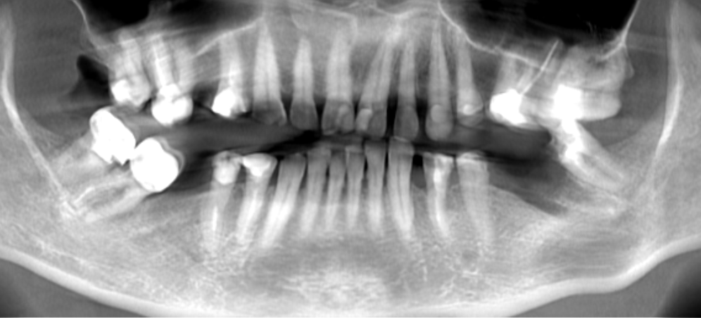
После травмы у пациента не прижились свои центральные резцы, так же произошла “убыль” десны.
За 1-ый прием удалили два зуба, поставили 1 имплантат и временные коронки, восстановили десну собственными тканями с нёба.
За 2-ой прием установили 2 постоянные циркониевые коронки с опорой на 1 имплантат


До
После
подробнее
Виниры, коронки из диоксида циркония, коронки на имплантатах из диоксида циркония


До
После
подробнее
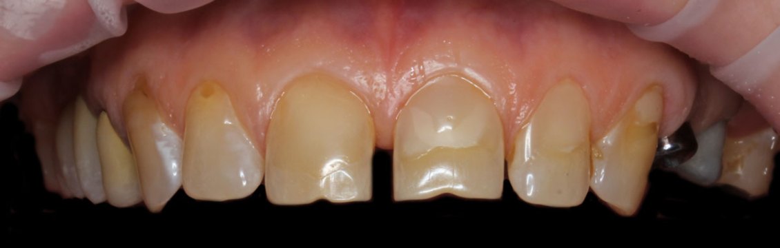
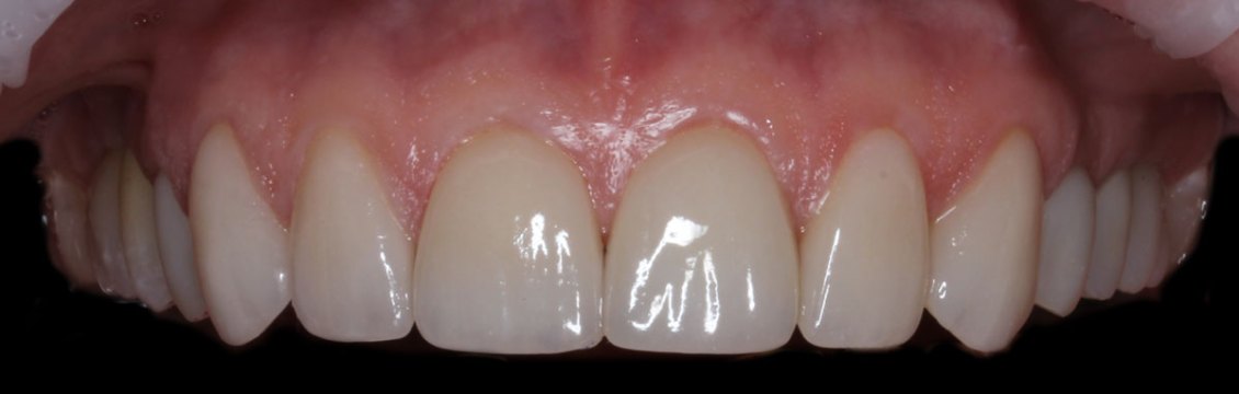
На снимке “до”: повышенная стираемость, дефекты и отсутствие жевательных зубов. На снимке “после” выполнено протезирование коронками на имплантатах
основные дни работы
ДАТА И ВРЕМЯ
Понедельник
15-21
Вторник
9-15
Среда
15-21
Четверг
не рабочий
Пятница
9-15
Суббота
10-16
Воскресенье
не рабочий
2020 г. окончил Красноярский Государственный аграрный университет по специальности “Экономика и Управление”
2018 г – курс П. Ярошевича и А. Першина «Командный подход в дентальной имплантации. Хирургический и ортопедический взгляд.»
читать еще
2017 г. – курс профессиональной переподготовки по программе «Организация здравоохранения и общественное здоровье» ( Санкт-Петербургский институт стоматологии последипломного образования).
2017 г. – курс «Имплантация при немедленной нагрузке (г. Санкт-Петербург).
2014 г. – прошел курс профессиональной переподготовки по циклу «ортопедическая стоматология» в «Научно-исследовательском институте медицинских проблем Севера».
2013 г. окончил Красноярский государственный медицинский университет имени профессора В.Ф. Войно-Ясенецкого. Специальность – стоматология общей практики.
Как мы работаем

Администраторы подберут свободное время доктора с учетом ваших пожеланий. А наша автоматизированная система напомнит вам о приеме и пришлет памятку после лечения
Для полноценной консультации стоматологу-ортопеду, как правило, нужен 3d снимок, а так же осмотр полости рта. Так сформируется полная картина о состоянии зубов
В этот же день или ближайшее время отправим один или несколько планов лечения, из которых вы сможете выбрать подходящий
Ортопед вернет способность полноценно жевать установив в конце лечения жевательную часть - коронку или протез
узнайте сколько стоит имплантация под ключ с разными коронками которые устанавливает ортопед
объясним непонятное, сориентируем по ценам, запишем к врачу
Мы здесь
Воскресенск ул. Новлянская 16А
О КЛИНИКЕ
Полный спектр стоматологических услуг, передовое оборудование, лечение с гарантиями. Три аппарата в клинике не имеют аналогов в городе
Приём главного врача
Каждый четверг с 11:00 до 16:00
ПРАВОВАЯ ИНФОРМАЦИЯ
ОТКАЗ ОТ ОТВЕТСТВЕННОСТИ
Информация на сайте не является публичной офертой, носит ознакомительный характер и не может быть приравнена к рекомендации врача
ИМЕЮТСЯ ПРОТИВОПОКАЗАНИЯ НЕОБХОДИМА КОНСУЛЬТАЦИЯ СПЕЦИАЛИСТА
Все права сохраняются 2026 ©
Некоторые иллюстрации взяты c ru.freepik.com
СТОМАТОЛОГИ:
Стоматологи терапевты:
Ткачева М.А.
Фатеева М.В,
Вавилкина Е.Д. Лавров К.А.
Гигиенисты
Рошавец А.И.
Михалева Е. Ю.
Хирурги и имплантологи:
Корсуков Ю.В.
Гудков А.С. Сычев Д.В.
Ортопеды
Чумляков Р.С.
Гудков А.С.
Ортодонты
Ибинаев Р.С,
КОСМЕТОЛОГИЯ


