

Лечит зубы и устанавливает виниры. Работая под микроскопом, спасает зубы. Имеет публикации в научном медицинском журнале «Стоматология для всех». В работе использует новейшие технологии и методы лечения. Постоянно совершенствуется. Профессионал своего дела, имеет чуткое и внимательное отношение к каждому пациенту.
+7-903-25XXXXX из Продокторов
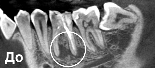
Перелечивали зуб с Марией Александровной после некачественного первичного лечения у другого врача. Образовалась киста + недобросовестный доктор оставил часть инструмента в канале. Очень понравилось то, Еще... что доставали часть забытого инструмента (и в общем все процедуры проводились) под микроскопом. Не было паники, что что-то повредится. Было всё абсолютно безболезненно. После всех процедур, через 2 месяца пришла на повторный снимок, киста практически ушла. Динамика хорошая. Безумно благодарна Марии Александровне за проделанную работу. За здоровыми и красивыми зубками – теперь только к ней!


До
После
В 2017 году окончила ФГБОУ ВО «Рязанский государственный медицинский университет им. Академика И.П. Павлова. Специальность : врач-стоматолог
еще...
Пройдена первичная аккредитация по специальности : «Стоматология общей практики».
Как мы работаем

Администраторы подберут подходящее время с учётом ваших пожеланий. А наша автоматизированная система напомнит вам о приеме и пришлет памятку после лечения
Для полноценной консультации стоматологу, нужны снимки, а так же осмотр полости рта. Так сформируется полная картина о состоянии зубов
После согласия с планом лечения или манипуляцией стоматолог приступает к лечению немедленно или в другой подходящий день
Стоматолог терапевт может рекомендовать гигиену, пригласить на консультацию ортопеда, имплантолога если у вас стоят коронки, протезы и имплантаты
основные дни работы
ДАТА И ВРЕМЯ
Понедельник
Вторник
Среда
Четверг
Пятница
Суббота
Воскресенье
объясним непонятное, сориентируем по ценам, запишем к врачу
Мы здесь
Воскресенск ул. Новлянская 16А
О КЛИНИКЕ
Полный спектр стоматологических услуг, передовое оборудование, лечение с гарантиями. Три аппарата в клинике не имеют аналогов в городе
Приём главного врача
Каждый четверг с 11:00 до 16:00
ПРАВОВАЯ ИНФОРМАЦИЯ
ОТКАЗ ОТ ОТВЕТСТВЕННОСТИ
Информация на сайте не является публичной офертой, носит ознакомительный характер и не может быть приравнена к рекомендации врача
ИМЕЮТСЯ ПРОТИВОПОКАЗАНИЯ НЕОБХОДИМА КОНСУЛЬТАЦИЯ СПЕЦИАЛИСТА
Все права сохраняются 2026 ©
Некоторые иллюстрации взяты c ru.freepik.com
СТОМАТОЛОГИ:
Стоматологи терапевты:
Ткачева М.А.
Фатеева М.В,
Вавилкина Е.Д. Лавров К.А.
Гигиенисты
Рошавец А.И.
Михалева Е. Ю.
Хирурги и имплантологи:
Корсуков Ю.В.
Гудков А.С. Сычев Д.В.
Ортопеды
Чумляков Р.С.
Гудков А.С.
Ортодонты
Ибинаев Р.С,
КОСМЕТОЛОГИЯ
