узнайте сколько стоит вылечить зубы в Зубр Воскресенск
В нашей стоматологии используются анестезия для всех случаев. Стоматолог подберет такую, чтобы вы ничего не чувствовали. Боль при лечении зубов - отголосок прошлого, неприятного опыта, страхов из детства. У нас все современно
стоматологи лечащие кариес и каналы, детям и взрослым
с богатым опытом применения инновационных методов, безупречной работы и безболезненного лечения
с широким спектром услуг, лечение зубов их удаление, находит подход к каждому и дает высокий уровень результатов.
Лечение зубов постоянно дорожает из-за стоимости материалов, санкций и прочих факторов. Чем раньше начать лечение, тем меньше будет сумма и больше шансы продлить срок службы своих зубов
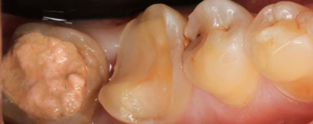
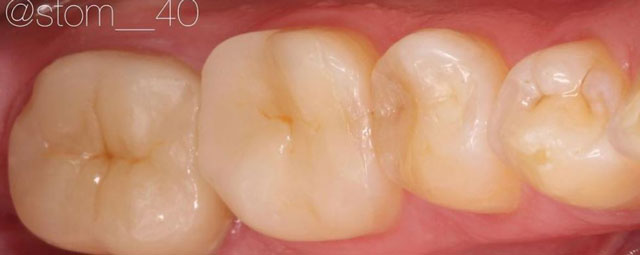
Кариес начинается с пятна и поражает зуб дальше пока не доберется до пульпы (сосуды и нервы внутри зуба). В зависимости от объема поражения формируются цены. Этот объем определяет стоматолог после снимка и осмотра зуба.
Пока он не добрался до нерва и сосудов лечат «по кариесу», если добрался, лечат «по пульпиту» и «по периодонтиту», что увеличивает стоимость лечения.


До
После
объясним непонятное, сориентируем по ценам, запишем к врачу
О КЛИНИКЕ
Полный спектр стоматологических услуг, передовое оборудование, лечение с гарантиями. Три аппарата в клинике не имеют аналогов в городе
Приём главного врача
Каждый четверг с 11:00 до 16:00
ПРАВОВАЯ ИНФОРМАЦИЯ
ОТКАЗ ОТ ОТВЕТСТВЕННОСТИ
Информация на сайте не является публичной офертой, носит ознакомительный характер и не может быть приравнена к рекомендации врача
ИМЕЮТСЯ ПРОТИВОПОКАЗАНИЯ НЕОБХОДИМА КОНСУЛЬТАЦИЯ СПЕЦИАЛИСТА
Все права сохраняются 2026 ©
Некоторые иллюстрации взяты c ru.freepik.com
СТОМАТОЛОГИ:
Стоматологи терапевты:
Ткачева М.А.
Фатеева М.В,
Вавилкина Е.Д. Лавров К.А.
Гигиенисты
Рошавец А.И.
Михалева Е. Ю.
Хирурги и имплантологи:
Корсуков Ю.В.
Гудков А.С. Сычев Д.В.
Ортопеды
Чумляков Р.С.
Гудков А.С.
Ортодонты
Ибинаев Р.С,
КОСМЕТОЛОГИЯ